Cervical Lymphadenitis Due to Nodular Fasciitis in a Child

Authors

  • Ali Kanik Tepecik Training and Research Hospital, Department of pediatrics, Tepecik Teaching and Research Hospital, Izmir
  • Kayi Eliacik Tepecik Training and Research Hospital, Department of pediatrics, Tepecik Teaching and Research Hospital, Izmir
  • Tolga Ince Tepecik Training and Research Hospital, Department of pediatrics, Tepecik Teaching and Research Hospital, Izmir
  • Umit Bayol Tepecik Training and Research Hospital, Department of pathology, Tepecik Teaching and Research Hospital, Izmir
  • Mehmet Helvacı Tepecik Training and Research Hospital, Department of pediatrics, Tepecik Teaching and Research Hospital, Izmir

DOI:

https://doi.org/10.3126/jnps.v34i2.9548

Keywords:

Nodular fasciitis, neck, lymphadenitis, childhood

Abstract

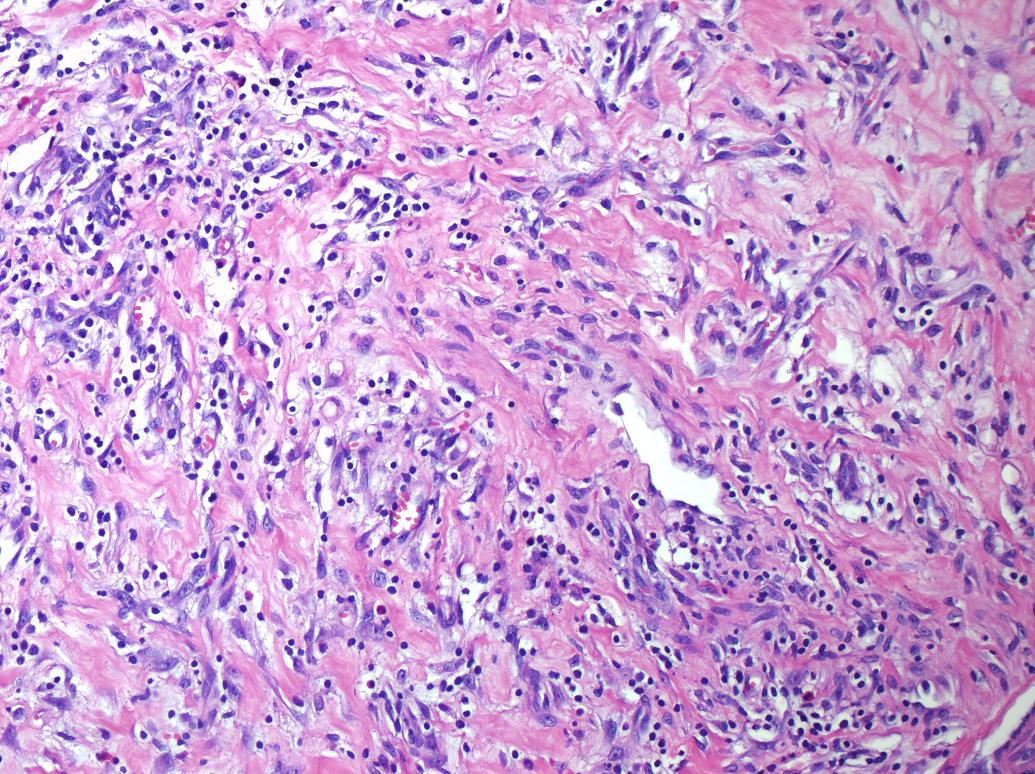
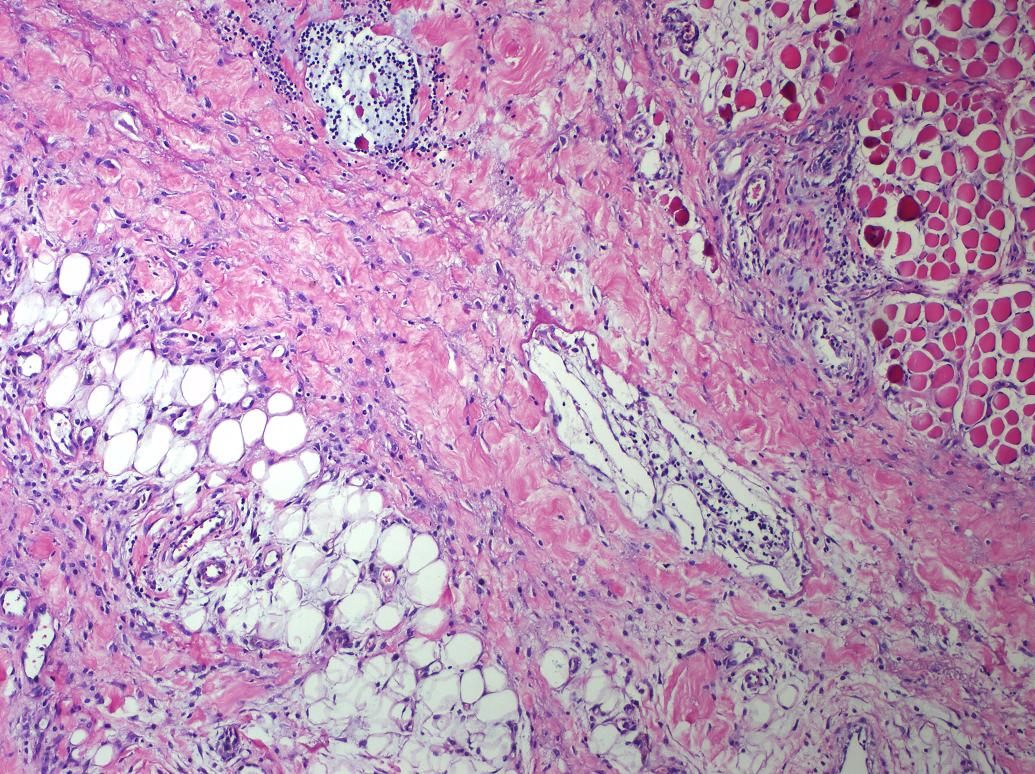
Nodular fasciitis is a benign, reactive proliferation of fibroblasts in the subcutaneous tissues. It usually affects the trunk and upper extremities, and rarely the head and neck region of young adults. It is rare among children and the histologic findings may incorrectly suggest malignant lesions. We describe a two-year-old girl that referred to our clinic with complaints of fever and swelling on the right side of neck and diagnosed as lymphadenitis clinically. Cervical lymphadenitis due to nodular fasciitis is a rarity. We emphasize that nodular fasciitis needs to be included in the differential diagnoses of neck lymphadenitis during childhood. 

DOI: http://dx.doi.org/10.3126/jnps.v34i2.9548

J Nepal Paediatr Soc 2014;34(2):141-143

 

Downloads

Download data is not yet available.
Abstract
1027
PDF
874

Downloads

Published

2014-10-30

How to Cite

Kanik, A., Eliacik, K., Ince, T., Bayol, U., & Helvacı, M. (2014). Cervical Lymphadenitis Due to Nodular Fasciitis in a Child. Journal of Nepal Paediatric Society, 34(2), 141–143. https://doi.org/10.3126/jnps.v34i2.9548

Issue

Section

Brief Reports/Case Reports/Case Series