Extra-adrenal Paraganglioma: An Uncommon Cause of Secondary Hypertension in a Young Subject
DOI:
https://doi.org/10.3126/jnps.v31i3.4965Keywords:
Paraganglioma, Tuberculous meningitis, Secondary hypertensionAbstract
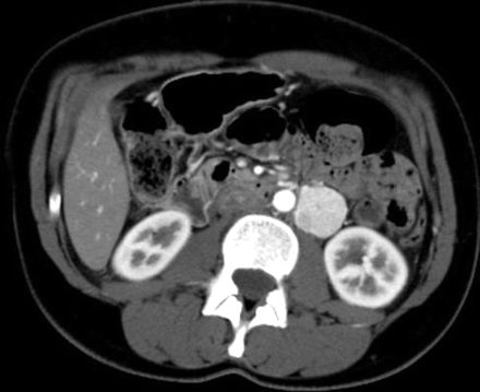
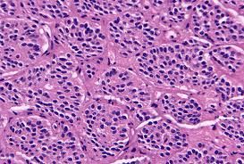
An 8 year boy was admitted with features of tuberculous meningitis. He was detected to have hypertension. Further investigations revealed an extra-adrenal paraganglioma. Tuberculous meningitis and paraganglioma could be chance associations. Paraganglioma is a rare and potentially lethal cause of secondary hypertension, very uncommon at this age. If left untreated it leads to complications arising from unrelenting hypertension. We report a case report on this very rare disease of paraganglioma presenting in an unexpected way.
Key words: Paraganglioma; Tuberculous meningitis; Secondary hypertension
DOI: http://dx.doi.org/10.3126/jnps.v31i3.4965
J Nep Paedtr Soc 2011;31(3): 238-240
Downloads
Downloads
Published
How to Cite
Issue
Section
License
Authors who publish with this journal agree to the following terms:
Authors retain copyright and grant the journal right of first publication with the work simultaneously licensed under a Creative Commons Attribution License that allows others to share the work with an acknowledgement of the work's authorship and initial publication in this journal.
Authors are able to enter into separate, additional contractual arrangements for the non-exclusive distribution of the journal's published version of the work (e.g., post it to an institutional repository or publish it in a book), with an acknowledgement of its initial publication in this journal.
Authors are permitted and encouraged to post their work online (e.g., in institutional repositories or on their website) prior to and during the submission process, as it can lead to productive exchanges, as well as earlier and greater citation of published work (See The Effect of Open Access).