Propranolol Therapy for an Abdominal Giant Haemangioma in a Neonate
DOI:
https://doi.org/10.3126/jnps.v35i2.13877Keywords:
Haemangioma, Giant tuberous haemangiomaAbstract
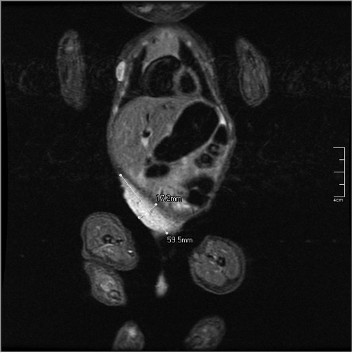
A one day old Moroccan boy was admitted to our neonatal unit with a giant tuberous right abdominal haemangioma. The clinical examination revealed no other vascular tumours. There was no evidence of heart failure. Ultrasound and MRA documented a giant vascular structure suggestive of haemangioma. The tumor responded well to propranolol treatment.
J Nepal Paediatr Soc 2015;35(2):189-191
Downloads
Downloads
Additional Files
Published
How to Cite
Issue
Section
License
Authors who publish with this journal agree to the following terms:
Authors retain copyright and grant the journal right of first publication with the work simultaneously licensed under a Creative Commons Attribution License that allows others to share the work with an acknowledgement of the work's authorship and initial publication in this journal.
Authors are able to enter into separate, additional contractual arrangements for the non-exclusive distribution of the journal's published version of the work (e.g., post it to an institutional repository or publish it in a book), with an acknowledgement of its initial publication in this journal.
Authors are permitted and encouraged to post their work online (e.g., in institutional repositories or on their website) prior to and during the submission process, as it can lead to productive exchanges, as well as earlier and greater citation of published work (See The Effect of Open Access).