Magnetic resonance spectroscopy imaging of medulla oblongata and substantia nigra in idiopathic Parkinson's disease
Keywords:
Substantia nigra, Medulla Oblongata, Neurodegenerative, Parkinson’s disease, Magnetic resonance spectroscopyAbstract
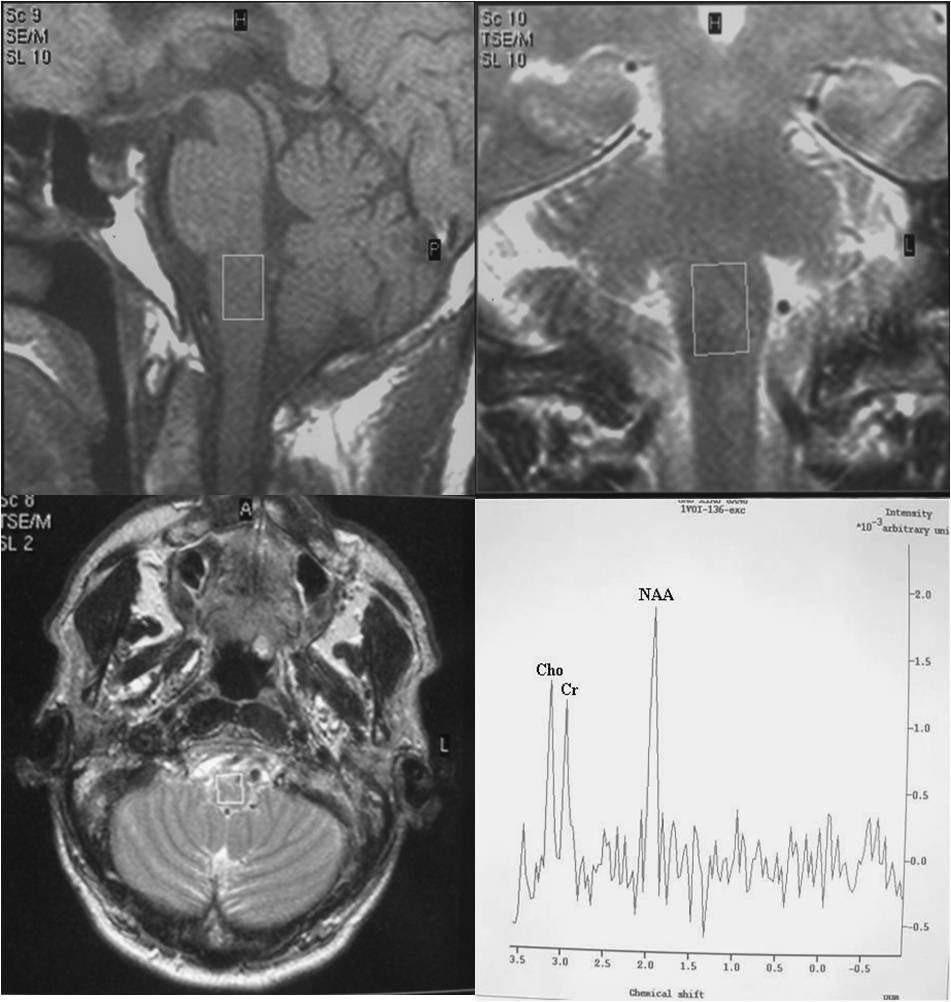
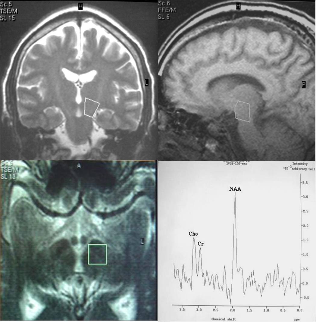
Objective: To use 1.5T 1H-MRS as a research tool in vivo and demonstrate the feasibility of obtaining long-echo 1H MR spectra in small volumes like substantia nigra (SN) and medulla oblongata (MO) in healthy volunteers and patients with Parkinson's disease (PD) and observe the clinical correlations.
Subjects and Methods: Twenty patients of the idiopathic Parkinson’s disease (IPD) were recruited from the Out Patient Department of Neurology. Additionally, 14 age-matched healthy subjects were taken as controls group. After baseline evaluation, the patients satisfying inclusion and exclusion criteria underwent 1H-MRS study. All MR examinations were performed on a 1.5 T system (Philips Gyroscan Intera, Netherlands) using a standard quadrature head coil.
Results: We succeeded to achieve 74.19% and 77.42% of spectra from MO and SN of both PD and control groups. MO showed slightly weak negative result to total UPDRS and UPDRS- II, but no significant correlation was found between metabolites and clinical indexes in MO. The result also showed no significant correlations between H&Y scale and metabolites in MO and SN of PD patients. But there was a significant correlation between H&Y, NAA/Cr and Cho/Cr in SN.
Conclusions: MRS ratios from MO and SN does not play any significant role to differentiate PD from the normal subjects, but metabolites ratios from SN of PD patient can help to understand the progression and severity of the disease. Therefore, it is not practical to employ MRS as a diagnostic tool for PD.
DOI: http://dx.doi.org/10.3126/ajms.v4i3.8066
Asian Journal of Medical Sciences 4(2013) 76-85
Downloads
Downloads
Additional Files
Published
How to Cite
Issue
Section
License
Authors who publish with this journal agree to the following terms:
- The journal holds copyright and publishes the work under a Creative Commons CC-BY-NC license that permits use, distribution and reprduction in any medium, provided the original work is properly cited and is not used for commercial purposes. The journal should be recognised as the original publisher of this work.
- Authors are able to enter into separate, additional contractual arrangements for the non-exclusive distribution of the journal's published version of the work (e.g., post it to an institutional repository or publish it in a book), with an acknowledgement of its initial publication in this journal.
- Authors are permitted and encouraged to post their work online (e.g., in institutional repositories or on their website) prior to and during the submission process, as it can lead to productive exchanges, as well as earlier and greater citation of published work (See The Effect of Open Access).