Mucinous carcinoma of breast: FNAC as effective diagnostic modality
Keywords:
FNAC, Mucinous carcinomaAbstract
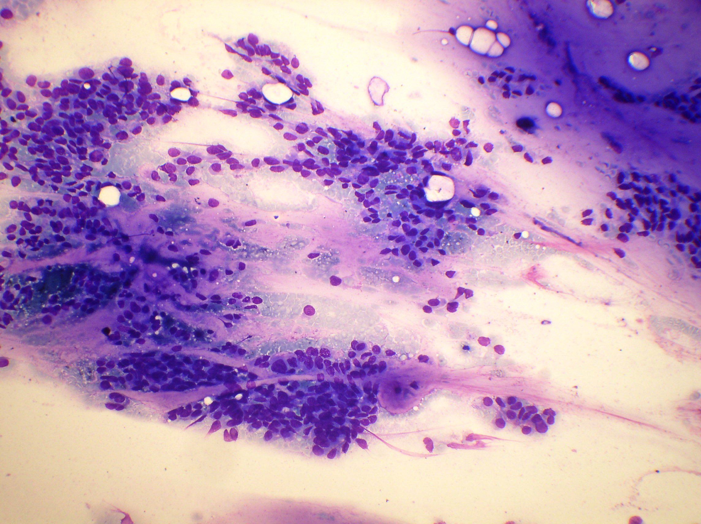
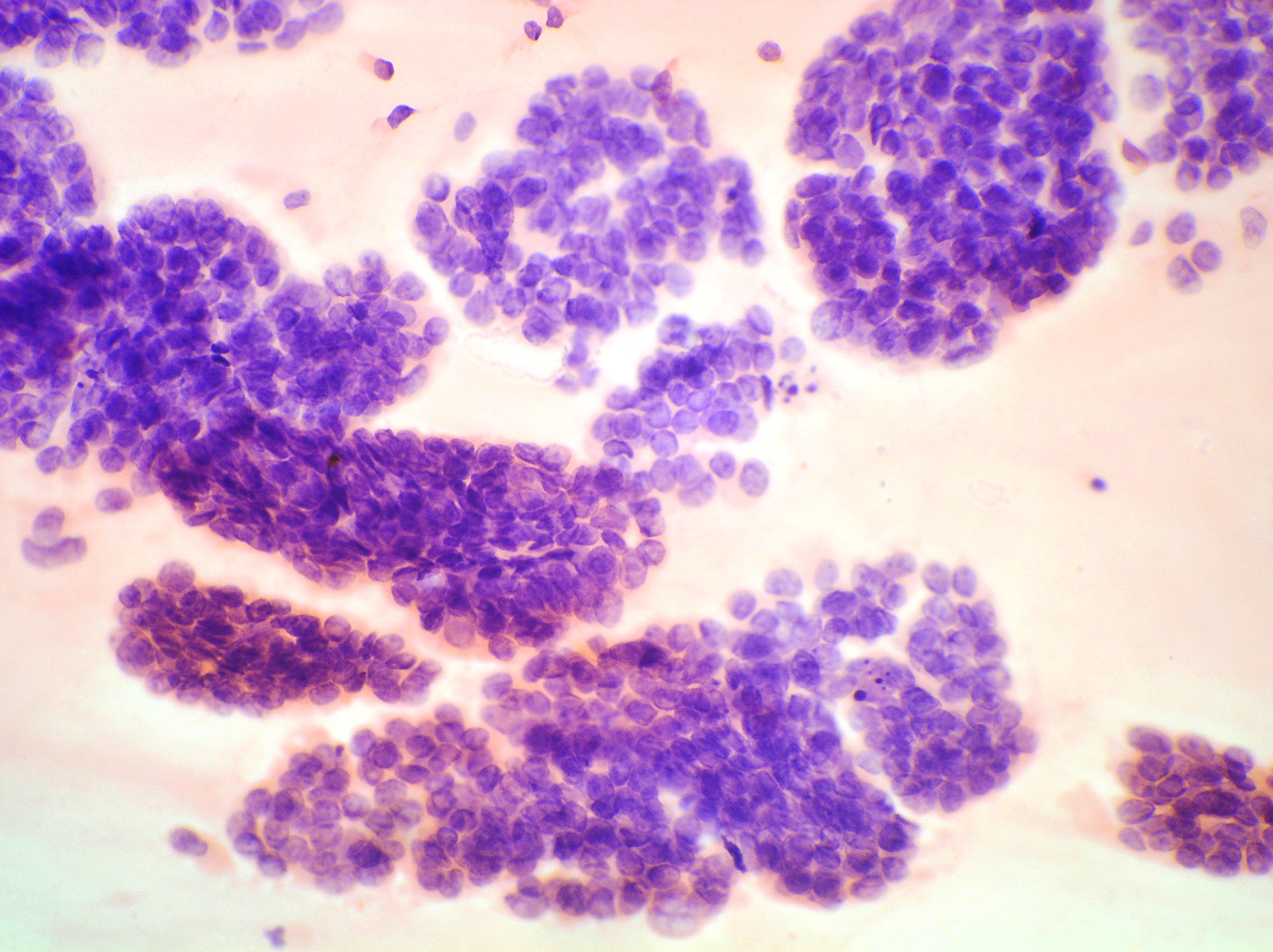
Mucinous carcinoma of the breast in pure form comprises only 2% of all breast cancers. Pure mucinous carcinoma of the breast have better prognosis. They are usually having higher incidence in peri-menopausal and post-menopausal age group. We report a 32-year-old female, clinically suspected to have benign breast disease, diagnosed as mucinous carcinoma of the breast on FNAC. In such cases, there is always a high probability of missing the diagnosis at imaging because of the absence of established radiological signs of malignancy such as calcification and spiculation. In this case imaging was not helpful and diagnosis was ascertained by FNAC. This case further strongly substantiates, Fine needle aspiration cytology as rapid , highly sensitive and highly specific diagnostic investigation of choice for management of breast lumps .
Asian Journal of Medical Science, Volume-3 No-3 (2012), Page -32-35
DOI: http://dx.doi.org/10.3126/ajms.v3i3.5240Downloads
Downloads
Published
How to Cite
Issue
Section
License
Authors who publish with this journal agree to the following terms:
- The journal holds copyright and publishes the work under a Creative Commons CC-BY-NC license that permits use, distribution and reprduction in any medium, provided the original work is properly cited and is not used for commercial purposes. The journal should be recognised as the original publisher of this work.
- Authors are able to enter into separate, additional contractual arrangements for the non-exclusive distribution of the journal's published version of the work (e.g., post it to an institutional repository or publish it in a book), with an acknowledgement of its initial publication in this journal.
- Authors are permitted and encouraged to post their work online (e.g., in institutional repositories or on their website) prior to and during the submission process, as it can lead to productive exchanges, as well as earlier and greater citation of published work (See The Effect of Open Access).