Sequential development of human fetal pancreatic islets of langerhans cells: A histopathological study
Keywords:
Histogenesis, Pancreas, Islets of Langerhans, Diabetes MellitusAbstract
Background: Knowledge of normal development pattern of various endocrine cells of the human pancreas is of paramount importance, due to its implication during replacement therapies in the treatment of diabetes mellitus. Development related literature of fetal pancreas is scanty due to ethical and technical difficulties to obtain fetuses.
Aims and Objectives:Present study was conducted on 49 fetuses from gestational weeks 10 to 40 to obtain the sequential appearance and arrangement of islets of langerhans cells of pancreas.
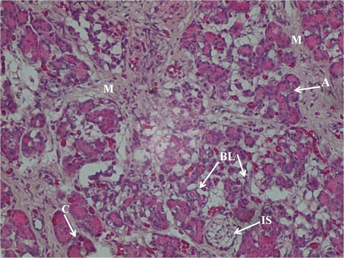
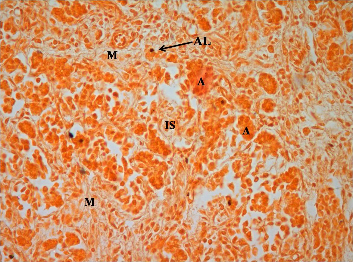
Material and Methods: Forty nine fetuses were collected in formal saline immediately after abortion, medical termination of pregnancy or premature delivery. The fetal pancreas was processed for paraffin blocks. Sections were taken and stained with Haematoxylin and Eosin as well as Gomori’s modified Aldehyde Fuchsin stain and observed under light microscope.
Results: Islets were initially a small number of cells with Alpha cells, which were seen at 10th week of gestation. Beta cells were identified in the islets of fetuses around 16 weeks of gestation. Delta cells were observed from 17 weeks onwards and islets appeared as a group from the beginning of 19th week.
Conclusion: In the present study we observed a sequential development of Alpha, Beta and Delta cells and subsequent grouping of the islets. The exact gestational time of appearance of above islet cells and their encapsulation can add to the existing knowledge data base for successful transplant of pancreas in patients of insulin dependent diabetes mellitus.
Asian Journal of Medical Sciences Vol.9(5) 2018 67-72
Downloads
Downloads
Published
How to Cite
Issue
Section
License
Authors who publish with this journal agree to the following terms:
- The journal holds copyright and publishes the work under a Creative Commons CC-BY-NC license that permits use, distribution and reprduction in any medium, provided the original work is properly cited and is not used for commercial purposes. The journal should be recognised as the original publisher of this work.
- Authors are able to enter into separate, additional contractual arrangements for the non-exclusive distribution of the journal's published version of the work (e.g., post it to an institutional repository or publish it in a book), with an acknowledgement of its initial publication in this journal.
- Authors are permitted and encouraged to post their work online (e.g., in institutional repositories or on their website) prior to and during the submission process, as it can lead to productive exchanges, as well as earlier and greater citation of published work (See The Effect of Open Access).