Filum terminale paraganglioma a diagnostic dilemmas- A case report

Authors

  • Mithilesh Kumar Pandey Assistant Professor, Department of Neurosurgery, Government Medical College Haldwani, Nainital, Uttarakhand
  • Debajit Ray Barman RMO Cum Clinical Tutor, Department of Neurosurgery, Nil Ratan Sircar Medical College and Hospital, Kolkata
  • Sibaji Dasgupta Post Doctoral Trainee, Department of Neurosurgery, Nil Ratan Sircar Medical College and Hospital, Kolkata
  • Kaushik Roy Associate Professor, Department of Neurosurgery, Nil Ratan Sircar Medical College and Hospital, Kolkata
  • Suniti Kumar Saha Professor, Department of Neurosurgery, Nil Ratan Sircar Medical College and Hospital, Kolkata

Keywords:

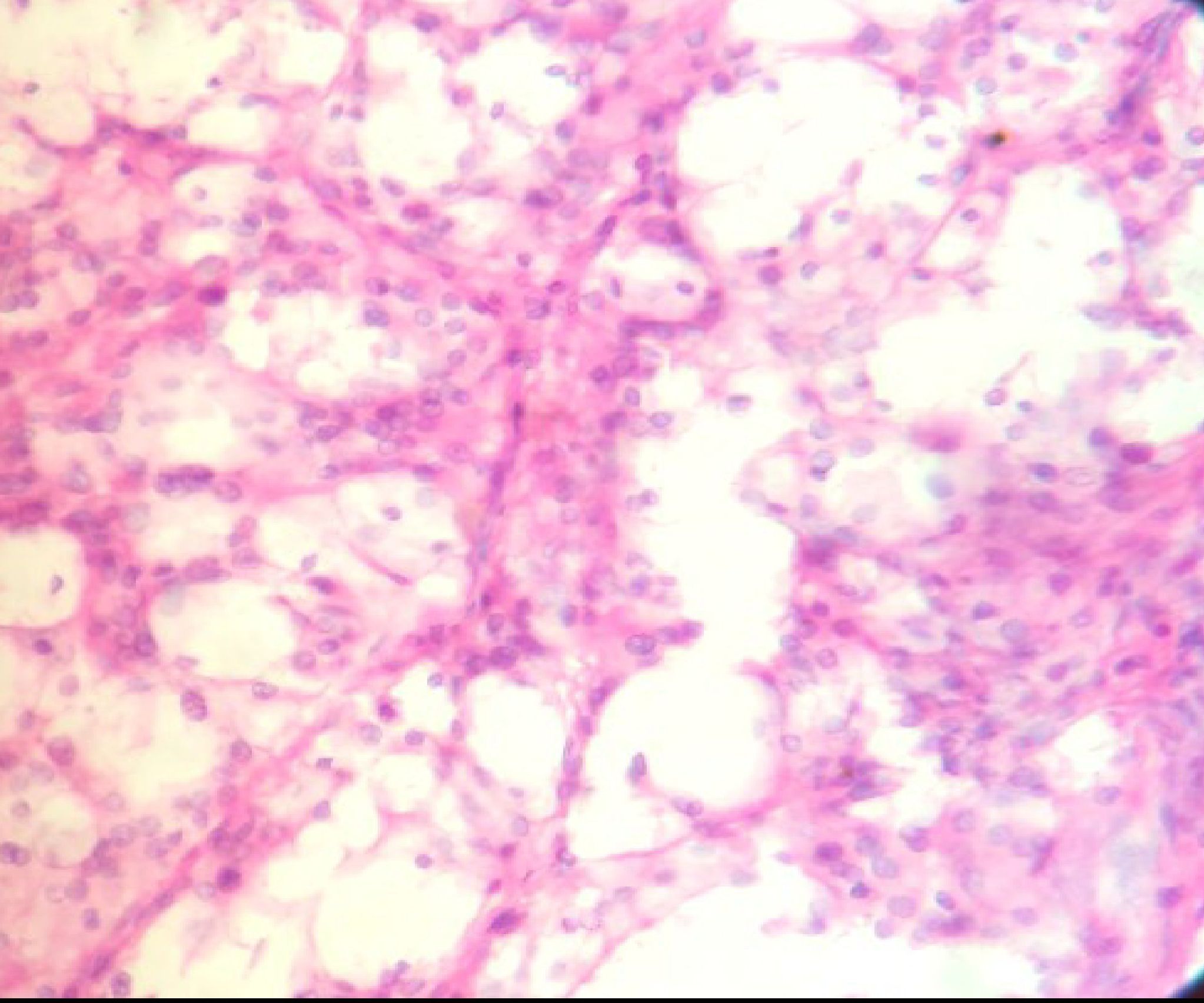
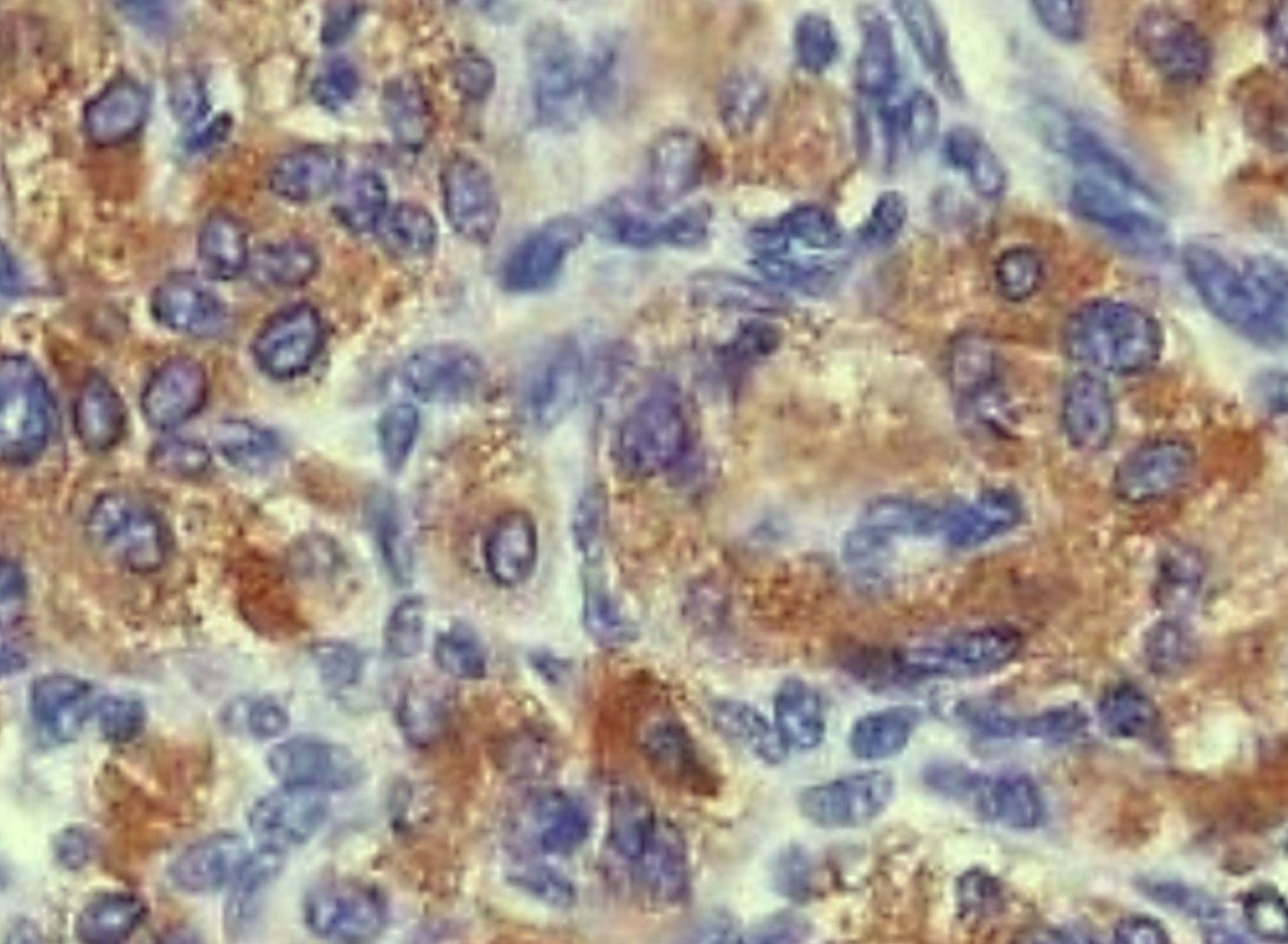
Paraganglioma, Filum Terminale, Cauda equina, Zell-ballen pattern

Abstract

Filum terminale paraganglioma is a rare tumour with usual short segment spinal involvement (one or two segments) as described in various literatures. It can also present with long segment spinal involvement as in our case, the tumour has involved L4 to S1 segments. Prognosis of filum terminale paraganglioma is excellent after total excision as it is classified under WHO grade I tumor. Nonetheless, after subtotal removal, tumour recurrence can occur. Even such an extremely rare entity with a larger spectrum of presentation can be treated successfully by total removal of the tumour. Here we present a fi lum terminale paraganglioma which was diagnosed after histopathology and immuno-histochemistry. Patient made a full recovery after tumour removal.

Asian Journal of Medical Sciences Vol.7(2) 2015 104-106

Downloads

Download data is not yet available.
Abstract
951
PDF
941

Author Biographies

Mithilesh Kumar Pandey, Assistant Professor, Department of Neurosurgery, Government Medical College Haldwani, Nainital, Uttarakhand


Debajit Ray Barman, RMO Cum Clinical Tutor, Department of Neurosurgery, Nil Ratan Sircar Medical College and Hospital, Kolkata


Sibaji Dasgupta, Post Doctoral Trainee, Department of Neurosurgery, Nil Ratan Sircar Medical College and Hospital, Kolkata


Kaushik Roy, Associate Professor, Department of Neurosurgery, Nil Ratan Sircar Medical College and Hospital, Kolkata


Suniti Kumar Saha, Professor, Department of Neurosurgery, Nil Ratan Sircar Medical College and Hospital, Kolkata


Downloads

Published

2015-11-05

How to Cite

Pandey, M. K., Barman, D. R., Dasgupta, S., Roy, K., & Saha, S. K. (2015). Filum terminale paraganglioma a diagnostic dilemmas- A case report. Asian Journal of Medical Sciences, 7(2), 104–106. Retrieved from https://nepjol.info/index.php/AJMS/article/view/13324

Issue

Section

Case Reports